当前,冠心病精准评估和规范治疗已经成为心血管疾病实践和发展的主旋律。池州市人民医院心血管内科紧跟发展步伐,及时开展各项冠脉介入新技术。
据了解,池州市人民医院是皖南片区最先将冠脉OCT技术开展使用的医院。自2023年5月起,我院正式开展了冠脉造影融合冠脉OCT技术。目前,已顺利完成OCT指导下复杂冠脉手术40多例,这标志着我院冠脉介入诊疗迈入新里程。
70岁的爷爷活动后,突发心前区疼痛不适,全身出汗,送入当地医院后三天内反复发作,考虑冠心病。为进一步确诊病情,转院至我院心血管内科进行治疗。

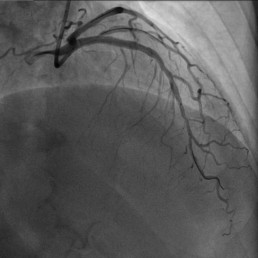
经冠脉造影检查为前降支近段重度狭窄
心血管内科为患者选择使用了2023年医院最新引进的微创技术OCT进行进一步检查,且采用ACR技术指导支架精准定位。根据ACR技术指导顺利植入一枚支架,快速完成手术,手术非常成功。
1、什么是冠脉OCT?
光学干涉断层成像技术(Optical Coherence tomography, OCT)是近年来迅速发展起来的一种成像技术,它利用近红外弱相干光干涉仪的基本原理,检测生物组织不同深度层面对入射弱相干光的背向反射或几次散射信号,通过扫描,可得到生物组织二维或三维结构图像。OCT检测时,将一条头端带有光学透镜的成像导管通过指引导丝送至血管靶病变或支架远端,通过高速旋转回撤,不到3秒钟就可以清晰呈现血管腔内的结构和斑块性质。
2、为什么要用OCT?
冠脉介入手术快速发展,单纯冠脉造影指导PCI手术存在很多局限性。
3、冠脉OCT检查优势?

一是图像分辨率(10μm)更高,能够准确判断斑块形态和性质,确定支架落脚点和尺寸。
二是ACR冠脉造影融合,造影图像与OCT图像能够同步定位病变位置,精准指导支架植入。
三是具有3D导航模式:分叉模式和嵴视角,精准定位导丝穿支架网眼位置。让血管内场景和支架都栩栩如生,能够帮助医生术中快速掌握血管内情况。3D重建在分叉病变中能够识别导丝rewire的支架网眼位置是否正确。
扫一扫在手机打开当前页
地 址:安徽省池州市百牙中路3号
乘车路线:汽车站(火车站)乘坐7路车在百荷公园站下车,步行183米,乘坐5路、8路、10路、11路、18路公交在池州市人民医院站下
投诉、预约、咨询服务热线:0566-96589 行风监督电话:0566-2812293(工作时间拨打) 综合事务电话:0566-2816080(工作时间拨打)
池州市人民医院 版权所有
皖公网安备34170002000037号
皖ICP备19000375号-1
技术支持:商网信息