患者为48岁男性,来自贵池农村,二十余年前就曾被诊断为慢性乙肝“小三阳”,一直予随访观察,近两年来患者未规律随访,且患者长期抽烟,此次患者于入院前一天少量饮酒后发作右上腹部胀痛不适,持续不能缓解,于外地医院行B超提示肝脏混合回声巨大肿块。患者遂回家乡医院求进一步诊治,后于外院行CT检查提示右肝巨大占位,被告知手术难度大,建议上级医院就诊,遂转入我院。入院后予完善术前检查,进一步的检查提示患者右肝后叶巨大肿瘤,肿瘤最大径达10cm,结合病史及影像学特点,考虑为右肝巨大肝细胞肝癌。术前经过科室充分的讨论认为:患者左肝体积小,行右半肝切除有术后肝功能衰竭的风险,经过仔细的术前阅片分析患者肿瘤位于右肝后叶,右肝前叶正常,无转移子灶,行规则性右肝后叶切除能保障患者残肝体积,术后发生肝衰竭可能性小。但患者肿瘤巨大,与肝右静脉、门静脉右支及右肾上腺关系密切,且患者CT提示右肝前叶血液回流以肝右静脉为主,肝中静脉细小。行规则性右肝后叶切除既要保障肿瘤切缘阴性,又要保障右肝前叶肝组织血供及回流不受影响,且肝右后叶切除肝截面积大,手术难度很大。肝脏是人体腹腔内最大的实质性器官,血供极其丰富,组织脆性大,手术一旦损伤粗大血管,就有可能出现难以控制的大出血,甚至危及患者生命,对患者和医生都是一个巨大的考验。由孔胜兵主任医师、詹志林主治医师、佘刚住院医师组成的手术小组,术前进行了认真的讨论和周密的布署,为患者制定了选择性入肝血流阻断下的解剖性右肝后叶切除方案及根据术中肝脏硬化程度,肿瘤分布情况可能需要临时变化的手术预案。在麻醉科周孟虎主任的亲自保驾护航下,在手术室护理团队的通力配合下,孔胜兵主任利用娴熟的解剖技法,通过解剖出肝右静脉、肝右动脉、门静脉右支达到选择性控制右肝血供,再进一步地解剖出肝右后动脉、VI、VII段肝蒂,分别结扎后根据肝表面右后叶缺血线利用超声刀精细钳夹法离断肝实质,在肝实质内分别结扎分别结扎VI、VII段肝右静脉分支,成功保留肝右静脉主干和门静脉、肝右动脉右前支,成功完成了精准的右肝后叶切除,完整地切除了右肝肿瘤,手术历时约5小时,术中出血约200ml,未输血。术后在肝胆外科护理团队的精心照料下,患者恢复顺利出院。
詹志林主治医师介绍,右肝后叶VII段肿瘤由于位置深在,暴露困难,与肝脏大血管关系密切,手术难度及风险极大,肝胆外科成功实施右肝后叶巨大肝癌解剖性右后叶切除技术,标志着我院肝脏外科技术达到省内先进水平。肝脏手术是一个系统工程,尤其是巨大肝脏肿瘤手术,手术的成功实施离不开术前的精确评估、术中的精准操作以及术后的精心护理。中国是一个乙肝大国,目前全国乙肝携带人群接近9千万!而中国的肝癌患者90%与慢性乙肝或丙肝相关!肝癌发病人数约占全球的55%!肝癌的发病危险因素主要有:慢性乙肝或丙肝、摄入黄曲霉素B1、吸烟、大量饮酒、肝硬化、脂肪肝、肝癌家族史等。小肝癌的5年生存率可以达到80%左右,大肝癌的5年生存率小于20%,所以肝癌的预防重点仍在早期发现早期治疗!对于有慢性乙肝或丙肝、肝硬化或肝癌家族史者的高危人群,建议每半年检查一次:肝脏B超、AFP及肝功能!一定要坚持规律随访,不可间断!建议广大医务工作者及时向肝癌高危人群普及肝癌预防相关知识,以达到预防控制及早发现早治疗的目的。
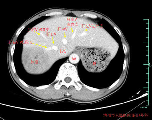
术前影像学:




术中解剖及手术标本:


扫一扫在手机打开当前页
地 址:安徽省池州市百牙中路3号
乘车路线:汽车站(火车站)乘坐7路车在百荷公园站下车,步行183米,乘坐5路、8路、10路、11路、18路公交在池州市人民医院站下
投诉、预约、咨询服务热线:0566-96589 行风监督电话:0566-2812293(工作时间拨打) 综合事务电话:0566-2816080(工作时间拨打)
池州市人民医院 版权所有
皖公网安备34170002000037号
皖ICP备19000375号-1
技术支持:商网信息